Veneer Direct dan Inderect, Apa Perbedaannya?
Informasi lengkap veneer gigi, perbedaan direct dan indirect veneer, indikasi, kelebihan, dan mana yang lebih cocok untuk anda
12/1/20252 min baca


Veneer adalah salah satu prosedur estetika yang cukup populer dalam dunia kedokteran gigi. Lapisan tipis yang diletakkan di permukaan gigi ini dapat memperbaiki warna, bentuk, hingga proporsi gigi, sehingga memberikan tampilan senyum yang lebih harmonis.
Namun, tidak semua veneer dibuat dengan cara yang sama. Secara umum terdapat dua teknik utama yang mungkin cukup familiar di telinga anda, yaitu Direct veneer dan Indirect veneer. Masing-masing memiliki karakteristik, kelebihan, dan indikasi yang berbeda. Mari cari tahu apa perbedaanya dan mana yang cocok sesuai kebutuhanmu.
Apa Itu Direct Veneer?
Direct veneer adalah prosedur Veneer yang menggunakan bahan resin komposit dan bisa dikerjakan langsung oleh dokter gigi dalam satu kali kunjungan. Resin komposit atau bahan tambal gigi akan ditempel, dibentuk, dan dipoles secara langsung pada gigi.
Kelebihan Direct Veneer
Proses cepat, Umumnya hanya membutuhkan satu kali kunjungan.
Biaya lebih terjangkau dibandingkan veneer berbahan porselen.
Minim pengikisan enamel, sehingga struktur gigi asli umumnya lebih terjaga.
Mudah diperbaiki bila terjadi retak kecil atau perubahan warna.
Kekurangan Direct Veneer
Lebih mudah mengalami stain (misalnya dari kopi, teh, atau rokok).
Durability lebih pendek, rata-rata 5–7 tahun, tergantung kebiasaan pasien.
Cocok untuk pasien dengan kebutuhan estetik ringan hingga sedang, atau yang menginginkan opsi cepat dan ekonomis.
Apa Itu Indirect Veneer?
Indirect Veneer merupakan veneer yang paling awam dikenal secara luas di masyarakat, biasanya berbahan porselen atau keramik sehingga perlu dibuat di laboratorium terlebih dahulu sebelum dipasang pada gigi pasien. Prosesnya melibatkan dua kunjungan atau lebih, karena melibatkan preparasi gigi, pencetakan, Try-in, dan pemasangan veneer pada gigi.
Kelebihan Indirect Veneer
Estetika sangat baik dengan warna yang natural dan tahan lama.
Ketahanan sangat baik, dapat bertahan 10–15 tahun dengan perawatan yang sesuai.
Resisten terhadap stain, sehingga warna tetap stabil dalam jangka panjang.
Presisi tinggi, ideal untuk kasus estetik kompleks.
Kekurangan Indirect Veneer
Proses lebih panjang karena melibatkan pembuatan di laboratorium.
Biaya yang relatif lebih mahal dibanding direct veneer.
Tidak bisa diperbaiki sebagian, biasanya perlu diganti jika pecah.
Memerlukan sedikit pengikisan enamel untuk mendapatkan hasil optimal.
Cocok untuk pasien yang menginginkan hasil estetik premium dan tahan lama, atau mereka dengan permasalahan warna, bentuk, serta proporsi gigi yang lebih kompleks
Mana yang Lebih Baik untuk Anda?
Jawabannya tergantung pada beberapa faktor:
Target estetika
Jika Anda menginginkan hasil paling mirip gigi asli dengan kilau alami, indirect veneer lebih unggul.Budget
Direct veneer adalah solusi ideal untuk hasil cepat dengan biaya lebih ringan.Kondisi gigi
Kasus kompleks seperti perubahan warna ekstrem atau bentuk gigi yang tidak proporsional umumnya lebih sesuai dengan indirect veneer.Waktu yang tersedia
Jika Anda membutuhkan hasil instan, direct veneer bisa menjadi pilihan efisien.
Masih bingung memilih Direct atau Indirect Veneer?
Tim dokter OMNI Dental Clinic siap membantu menilai kondisi gigi Anda secara menyeluruh. Konsultasi langsung dengan dokter gigi kami untuk menentukan jenis veneer yang paling sesuai dengan kondisi dan kebutuhanmu
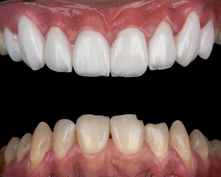
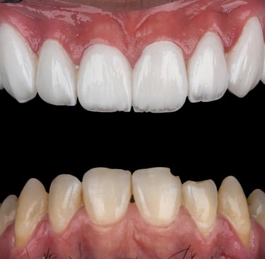
Veener pada Gigi Depan
Media Sosial
© 2025. All rights reserved.
Kontak
Navigasi
Kebijakan Privasi
